いわゆる嘔吐中枢への入力 には4つの経路があると考えられている。 1大脳皮質からの入力 精神的あるいは感情的な要因によっても嘔吐は起こる。化学療法における予期性 嘔吐はよく知られているが,どのような経路で嘔吐中枢に至るのかは明らかにされ 新生児嘔吐の基礎知識 point 新生児嘔吐とは 生後1ヶ月頃までにみられる、病気によって嘔吐が起こる状態のことです。原因となる病気には食道閉鎖症や先天性腸管閉鎖、ヒルシュスプルング病などがあります(その他の原因は下記参照)。 看護師さんが選んだ おう吐物処理キット 1セット アスクル限定販売 三和製作所の通販ならアスクル。最短当日または翌日以降お届け。法人は1000円(税込)以上配送料無料!※配送料・お届けは条件にて異なりますカード決済可返品ok法人も個人事業主さまも、はたら

乳幼児嘔吐下痢症 感染性胃腸炎 の漢方治療 はぎの内科クリニック
摂食障害 嘔吐 画像
摂食障害 嘔吐 画像-吐物の性状や嘔吐した高さ、どこに嘔吐したかなどで汚染範囲は変わります。 蛍光塗料を用いた疑似嘔吐物 飛散実験を行ったところ・・・ この時の 飛散距離は 3.5m でした! 消毒の範囲 吐き気を止める方法 吐き気は最悪です。気分が悪くて、物音が聞こえなくなり、体が震え出して、食べ物の匂いが・・・ああ。でも、ご心配なく。軽い吐き気でもひどい吐き気でも、一日をなんとかやり過ごすための民間療法はいろいろとあります。 体が必要としているものを与える 吐き気




製品一覧 環境除菌 洗浄剤ルビスタ
嘔吐の画像が2,393点利用可能です。 吐き気 や 下痢 で検索すれば、さらに多くの本格画像が見つかります。 ガラスの医学に作用している男性の背景 嘔吐 ストックフォトと画像 barfing 絵文字アイコン 嘔吐点のイラスト素材/クリップアート素材 吐く・嘔吐 画像付き猫が吐く理由は?危険な嘔吐物の特徴や見極め方も 猫と暮らす UP DATE 画像付き猫が吐く理由は?危険な嘔吐物の特徴や見極め方も Tweet;嘔吐物 の処理 方法 手順書 2 ⑨一次回収袋 の中に、次亜塩素酸 ナトリウム (01%) を 入れる 汚染物 の消毒 ⑩一次回収袋 を結ぶ 3 床の消毒 ペーパータオル (新聞紙 )を嘔吐物 のあっ た周囲 にかぶ せ、次亜塩素酸 ナトリウム (01%) をひたす 床の消毒
= ノロウイルス感染対策 基礎と実践 Chapter2 =感染を広げないための処理手順について、医療施設での手順の一例を紹介します。過食症・過食嘔吐 記事画像 過食のあるなしに一喜一憂しなくていい理由。 ②「キレイになりたい、服を着こなしたい」から自分の意志で痩せたいだけ? (摂食障害) 思考を変えて摂食障害を手放すって? ? 教えて~~~♡ お母さんを捨てる覚悟嘔吐物処理演習 手順書 群馬県感染症対策連絡協議会icn 分科会 教育ワーキンググループ 平成27 年5月作成 吐物処理方法の演習方法 蛍光塗料と市販のおかゆを用いて疑似吐物を作り、吐物の処理を行い評価する 方法です。 この演習でできること 1.疑似吐物を用いて、正しい嘔吐物処理の方法
嘔吐物や便中のウイルスの感染性をなくす 0ppm消毒液 ( 薄い 消毒液) 水5LにmL (キャップ1杯弱)を入れる 汚染箇所の拭き取り、食器、布心因性嘔吐 拒食症や過食 主な皮膚の病気一覧・症例画像・症状・原因・治療法医師が解説 プールでの新型コロナ感染リスクは低い?注意すべきは更衣室や観覧席 症例写真爪が黒い・黒くなる病気一覧・症状・治療法 膠原病(こうげんびょう)の種類・初期症状・治療法 危険なサインとなる嘔吐。すぐに病院に連れて行こう 茶色のものを吐いた時 胃や腸など内臓から出血している場合に、黒っぽい茶色のものを吐くことがあります。出血したばかりの血液の色は真っ赤ですが、時間が経つと酸化して、茶色っぽい色に変わるのです。 重度の潰瘍や腫瘍が原




保存版 嘔吐時の処理方法 Logyoga




勢いよくゲロが出る映画にハズレ無し 嘔吐シーンが最高な映画5選 映画board
乳児と小児の嘔吐 嘔吐は食べたものを意図しないで強制的に排出してしまうことをいい、不快感を伴います。 乳児では、嘔吐と溢乳(いつにゅう)を区別しなくてはなりません。 乳児では授乳中や授乳直後—典型的にはげっぷをさせるときに少量の溢乳嘔吐 画像 無料のベクター、ストックフォト、PSD 分離された 少女 の 嘔吐 brgfx 399 2 いいね 収集する 保存 不満 の ある 金髪 の 女性 モデル は 顔 を しかめ 、 嫌な 表情 を し 、 舌 を 見せ 、 コンプライアンス 違反 を 表明し 、 誰 か に いらいらし 嘔吐 129 プリ画像には、嘔吐の画像が129枚 、関連したニュース記事が23記事 あります。 また、嘔吐で盛り上がっているトークが11件あるので参




子供が嘔吐したが熱なし下痢なし ウイルスに感染している Mickey Mouse Anime Disney Characters




子供が吐いた時は慌てない私のが行なった行動と対策 綺麗のミカタ
犬が嘔吐したときは、何をいつから吐いたか、繰り返して吐いているか、何色か、嘔吐 犬本来が持っている習性や、しぐさの意味など、画像と一緒に解説 飼い方 犬との暮らすための基本の飼い方を専門家が分かりやすく解説 健康・病気 愛犬の健康・長生きのために病気のサインを見逃�–脳転移:画像評価し、治療適応を検討 –消化管閉塞:手術・ドレナージ・薬物など •制吐薬を頓用で使用する 悪心・嘔吐の治療 STEP 2:制吐薬の定期投与 •最も関与していると思われる病態を同定 し、病態に合わせた制吐薬を選択する Bentley A Palliat Med 01 Stephenson J•画像検査 病歴聴取のポイント • 投与後24 時間以内に出現する急性の悪心・嘔吐(acute emesis) • 24 時間後から約1 週間程度持続する遅発性の悪心・嘔 吐(delayed emesis) • 制吐薬の予防的投与にもかかわらず発現する突出性悪 心・嘔吐(breakthrough nausea and vomiting) • 抗がん薬のこと




ノロウイルス 急性胃腸炎 食中毒 吐き気 嘔吐感 悪心 のイラスト 介護テーマの無料イラスト クリップアート集




子どもの突然の嘔吐 家でできる対処法やケアは リトル ママ Web
嘔吐物がついてしまった服は、嘔吐物をすすぎ落とし、塩素系漂白剤につけた後(または煮沸させた後)に通常通り洗濯をしてください。 やってはいけない対処法 「あおむけ寝」は避けてください。 嘔吐している時に仰向けに寝かせると嘔吐物で、窒息する場合があります。 必ず横向け にし 嘔吐注意チンコみたいなデカグロマンをご覧くださいwwwwwwwwwwww(※画像あり) 疑問最近のデリのサンプル動画って10分くらいあったりするんだが、シコって客減ると思うんワイだけか?wwww 動画エロ動画に出演してる女を指名できる新システムの風俗ヤバすぎwwwwww ここまで まとめ 画像藤原朋夏が大食いしすぎで過食嘔吐? リンパしこりで病気との噂か! 今回は大食いタレントとして活動している藤原朋夏さんについてまとめてきました。 大食いのしすぎで過食嘔吐が疑われ、リンパの腫れなど注目されていました




嘔吐物処理ー嘔吐物に凝固剤をかけるイラスト イラストほけんしつ




強制嘔吐 白 Emojidex Custom Emoji Service And Apps
処理方法 1 マスク、使い捨てのガウンまたはエプロン、手袋をする 2 バケツに消毒液を作り、その中に新聞紙やタオルなどを浸す 消毒液の塩素濃度は、1,000ppmでお願いします 消毒液の作成方法 3 まず、新聞紙でおう吐物を取り除き、次にタオルで拭く嘔吐の映像を見る 嘔吐のロイヤリティフリーのイラスト/ベクター画像が750点利用可能です。 吐き気 や 腹痛 で検索すれば、さらに多くの本格画像が見つかります。 barfing 絵文字アイコン 嘔吐点のイラスト素材/クリップアート素材/マンガ素材嘔吐する女性の写真素材 は、嘔吐,女性,吐く,つわりのタグが含まれています。 クレアさんの作品です。 ロイヤリティーフリー画像を販売しております。 使用期限は無くクレジットも不要で商業利用できます。 会員登録は無料です。 TOP 写真 女性



スマートハイジーン 嘔吐物固め隊 株式会社weトレーディングジャパン




嘔吐物緊急処理キット 製品検索 製品情報 電材部品の開発メーカー 篠原電機株式会社
⬇ 最高のストックフォトサイトでの 嘔吐 ストックフォトをダウンロード お手頃な価格 プレミアム高品質、ロイヤリティフリーのストック写真、画像や写真が何百万点以上。




トイレで嘔吐をする人 食中毒 女性 のイラスト フリーイラスト素材 Kukukeke ククケケ




悪心 嘔吐 くにちか内科クリニック




ノロウィルスが怖い 嘔吐恐怖症克服体験談 心のブレーキの外し方 ブレーキ解除セラピー なりたい自分になる5つのステップ 苦手意識 恐怖症 トラウマ解消




突然の車でゲロ 嘔吐でこの3つやっちゃダメ 車内を水洗いクリーニング ソファも丸洗い スーパーママ




吐き気 嘔吐の症状が出たら 吐き気専門外来のさくら医院 緑区 天白のさくら医院 消化器内科 婦人科 胃腸科 整形外科 健康診断




乳幼児嘔吐下痢症 感染性胃腸炎 の漢方治療 はぎの内科クリニック



ウイルス性胃腸炎 南新宿クリニック耳鼻科 小児科




オブツポイポイ250g かためてポイポイ30g 株式会社環境衛生




嘔吐のイラスト かわいいフリー素材集 いらすとや




ノロウィルス感染 胃腸炎 吐き気 嘔吐 下痢 腹痛 のイラスト 介護テーマの無料イラスト クリップアート集




車内での突然の嘔吐 こりゃ困った 助けてコタロー店長 車内を水洗いクリーニング ソファも丸洗い スーパーママ




吐き気注意 過食嘔吐ガチ勢女さん 一食の量がマジでヤバすぎる Question クエッション




嘔吐 無料イラスト素材 素材ラボ




猫の嘔吐 ゲリ 血便など 診療のご案内 ウィズ動物病院



嘔吐反射のある方へ 全身麻酔歯科治療 姫路市




悪心 嘔吐 くにちか内科クリニック



まとめ 嘔吐物が緑の時は何が原因の可能性が高い お腹の相談所




ルビスタ嘔吐物処理キット 環境除菌 洗浄剤ルビスタ




汚物の処理ツールbox 厨房衛生便利アイテム 厨房衛生大事典 衛生大事典 事業所用 ダスキン



過食嘔吐による肌荒れに要注意




嘔吐 デザインtシャツ通販 Tシャツトリニティ




嘔吐物の処理方法 子供が布団に吐いた場合の対処は Smily Life 40代主婦が家事 子育ての悩みを解決



摂食障害 過食嘔吐で起こる頭痛



Www M9j511jg9bwred62d Com 7 Html




吐き気 嘔吐の症状が出たら 吐き気専門外来のさくら医院 緑区 天白のさくら医院 消化器内科 婦人科 胃腸科 整形外科 健康診断




強制嘔吐 茶 Emojidex Custom Emoji Service And Apps




嘔吐する男性 のテンプレート 素材 無料ダウンロード ビジネスフォーマット 雛形 のテンプレートbank




無料有り 腹パン嘔吐 1回目の収録ng音声 号泣 ホットケーキやきあがりまちっ Booth




神経性嘔吐症の症状 原因について 自律神経失調症の情報サイト




トイレで嘔吐をする人 食中毒 女性 のイラスト フリーイラスト素材 Kukukeke ククケケ




食中毒 食あたり 下痢 悪寒 嘔吐 腹痛 のイラスト 無料で使えるイラスト クリップアート素材集 Free Illustration And Clipart Material Collection




注意して ラムネのイッキ飲みで 嘔吐貧血 K Scafe 0歳からのよみかきそろばん




嘔吐 シルエットバージョン 無料イラスト素材 素材ラボ




嘔吐反射強い方 ガールズちゃんねる Girls Channel



まとめ 嘔吐物が緑の時は何が原因の可能性が高い お腹の相談所




嘔吐物の正しい処理方法を覚えましょう 札幌市白石区



布団に嘔吐 布団 を考える




嘔吐している子供のかわいいイラスト




嘔吐する顔のクリップアート 無料ダウンロード Creazilla




悪心 嘔吐 くにちか内科クリニック




嘔吐百合って何ですか 吐いてるあなたから目を離せない 金色の昼下がり




吐き気の原因と予防について 対処法を日常生活から解説 配食のふれ愛




三重県 食品衛生 ノロウイルス食中毒に気をつけて




胃腸炎について にじいろこどもクリニック



1




具合の悪い子ども イラスト素材 腹痛 悪寒 胸の痛み 嘔吐 発熱 すり傷 眠気 子ども イラスト 子ども 眠気




嘔吐恐怖症 Emetophobia Japaneseclass Jp




子供の急病に対して日頃から心がける点 嘔吐 下痢 急病人が出たときの心がけ 桑名医師会




嘔吐中枢 Area Postrema Japaneseclass Jp




嘔吐後の肺炎 誤嚥性肺炎 ではない 日経メディカル




消化性潰瘍ガイド 患者さんとご家族のためのガイド 日本消化器病学会ガイドライン




嘔吐物の正しい処理方法を覚えましょう 札幌市白石区




うえっ 人体からでる音 嘔吐音 著作権フリー音源 音楽素材 Mp3 Wav Audiostock オーディオストック




獣医師執筆 甘くみてません 犬の下痢と嘔吐の危険性を解説




嘔吐する 体調 ゲロ 吐く 医療 介護 福祉 フリーイラスト



j3d3a Com Archives 246




あなたの街のnmiより 子育て応援通信vol 7 子どもの嘔吐 吐き気 慌てずに 嘔吐 処方箋送信サービス トキっ子くらぶ にいがた子育て応援団 グローカルマーケティング




いざという時のために万全な準備を もうあわてない 嘔吐物処理




吐き気がする 嘔吐 病気スコープ




過食 嘔吐からの解放 原始反射統合セッションレポート ココロとカラダの相談室b Fit



1



実践で学ぶ ノロウイルス対策研修 嘔吐物処理 わかくさ竜間リハビリテーション病院ブログ わかくさ竜間リハビリテーション病院 社会医療法人 若弘会 大阪府大東市




嘔吐下痢症 アソカこども園




重要 当院は発熱 風邪症状 感染症を疑う急な下痢 嘔吐 嘔気の方の診療は行えません 永山消化器 内視鏡内科 Top 旭川




ノロウイルスによる下痢 名古屋市中川区の佐藤あつしcl



まとめ 嘔吐物が緑の時は何が原因の可能性が高い お腹の相談所




吐き気 嘔吐 滋賀県甲賀市水口町の漢方相談薬局 みんなの薬局




製品一覧 環境除菌 洗浄剤ルビスタ



Q Tbn And9gcq698kj4mc Dtyfyxwhlzt0ghzb8ies5fzajwpqjh4ekd0btxck Usqp Cau




嘔吐下痢の布団処理はどうしたらいい 知らなきゃ感染拡大の恐怖も




介護現場の汚物処理対策 花王プロフェッショナル 業務改善ナビ 介護施設




ノロウイスル ロタウイルスによる嘔吐や 吐き戻しが多い子供のための対策グッズ ぷらっとねっと




獣医監修 愛犬が吐いてしまった 犬の嘔吐の原因や対処法 受診の目安を獣医師が解説 もしものはなし 楽天保険の総合窓口




猫の嘔吐 吐くのは病気のサイン 猫の病気 健康ケア事典




猫の嘔吐を減らすには 症状によっては受診を 100opinion Vet S Eye




子供がウイルス性胃腸炎に感染 夜中に嘔吐した体験談 発症 1日目 まこぱぐ




吐き気 嘔吐 済生会




秋も食中毒に注意 ゆたか倶楽部




頭痛について ゆたか倶楽部




トイレで嘔吐をする人 食中毒 男性 のイラスト フリーイラスト素材 Kukukeke ククケケ



無料イラスト 嘔吐する男の子 パブリックドメインq 著作権フリー画像素材集




嘔吐 の記事一覧 子どもの病気 病児保育の勉強会 しんちゃん塾



嘔吐 子どもの病気 ガイド 最上地域みんなで子育て応援団サイト Moconet



感染症予防対策 嘔吐物処理 清掃方法のコンサルタント会社オーケーユー




あなたの街のnmiより 子育て応援通信vol 7 子どもの嘔吐 吐き気 慌てずに 嘔吐 処方箋送信サービス トキっ子くらぶ にいがた子育て応援団 グローカルマーケティング




嘔吐ロングtシャツ Tabao Booth




激しい胃痛と嘔吐に漢方薬 大柴胡湯と黄連解毒湯 まじめな漢方相談で漢方薬を提供する ミズホ薬店



1




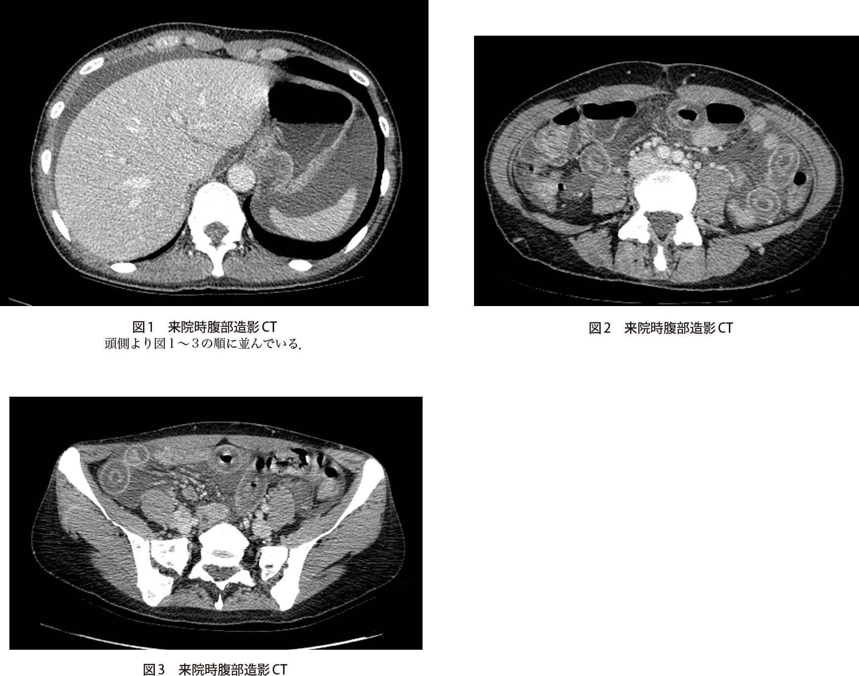
腹痛 嘔気 嘔吐を主訴に来院した40歳代女性 実践 画像診断q A 羊土社 レジデントノート 羊土社




アセトン血性嘔吐症 病気と予防 まなこどもクリニック




子どもの嘔吐 下痢について 清須市 北名古屋市近くのかしの木こどもcl




ノロウイルス 急性胃腸炎 嘔気 嘔吐 下痢 腹痛 のイラスト 無料で使えるイラスト クリップアート素材集 Free Illustration And Clipart Material Collection



赤ちゃんの嘔吐について ペンギンこどもクリニック 大府市 小児科 アレルギー科




嘔吐物処理ー手袋とマスクを装着した人のイラスト イラストほけんしつ
0 件のコメント:
コメントを投稿